-
脊柱 -
骨盆 -
股骨颈 -
肩部 -
足踝 -
手外
天玑II拓展手术—下肢手术
天玑II 辅助小儿股骨颈骨骺滑脱内牢靠术
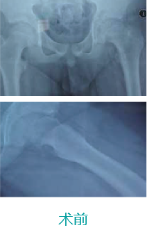
基本情形:患者男,,,,,,,12岁,,,,,,,跛行一年,,,,,,,加重一周
机械人辅助优势:入钉偏向和骨骺接壤精准定位
病例泉源:北京积水潭医院









天玑II 辅助小儿股骨颈骨骺滑脱内牢靠术
基本情形:患者男,,,,,,,12岁,,,,,,,跛行一年,,,,,,,加重一周
机械人辅助优势:入钉偏向和骨骺接壤精准定位
病例泉源:北京积水潭医院


