-
脊柱 -
骨盆 -
股骨颈 -
肩部 -
足踝 -
手外
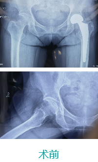
天玑II创伤手术—股骨颈手术
天玑II 辅助股骨颈骨折复位内牢靠术
基本情形:患者男,,,,,,73岁,,,,,,股骨颈骨折
机械人辅助优势:天玑II设置C臂跟踪器,,,,,,配准历程无需标定尺,,,,,,优化手术流程,,,,,,显著提高效率
病例泉源:北京积水潭医院



- 下一篇:空心螺钉内牢靠术 2019-04-12
