Õ㽹㻪ҽԺ¿ªÕ¹Ììçá¹Ç¿Æ»úеÈ˸¨ÖúÊÖÊõ
2020 - 06 - 05 15 : 36
¿ËÈÕ£¬£¬£¬£¬£¬Õ㽹㻪ҽԺ¼¹Öù¿ÆÔÚÌìçá?¹Ç¿ÆÊÖÊõ»úеÈ˵ĸ¨ÖúÏÂÍê³ÉÁËһ̨¼¹ËèÐ;±×µ²¡¾±×µºó·׵¹¸ùÂݶ¤ÄÚÀο¿+¼õѹÈÚºÏÊÖÊõ¡£¡£¡£¡£¡£¡£¡£ÒÔÍù¾±×µºó·ÄÚÀο¿ÊÖÊõÄѶȴóΣº¦¸ß£¬£¬£¬£¬£¬ÏÖ½ñÔÚÌìçá?¹Ç¿ÆÊÖÊõ»úеÈ˵Ä×ÊÖúÏ£¬£¬£¬£¬£¬½µµÍÁ˾±×µºó·ÄÚÀο¿µÈÊÖÊõµÄÊÖÒÕÃż÷£¬£¬£¬£¬£¬Îª¿í´ó»¼Õß´øÀ´¸£Òô¡£¡£¡£¡£¡£¡£¡£
Ò»¡¢ÊÖÊõÊÇÎÒ×îºóµÄÏ£Íû
¼Òס¶¨º£µÄ·¶°¢ÆÅ6Äêǰ¾Í×îÏÈ·ºÆðÐÐ×ß¼èÐÁ£¬£¬£¬£¬£¬ËÄÖ«ÎÞÁ¦×ß·Ïñ½Å²ÈÃÞ»¨£¬£¬£¬£¬£¬ÒÔΪÊÇÑü×µ¼²²¡£¬£¬£¬£¬£¬Ê±³£ÔÚ¼ÒÖÜΧµÄÕïËùÐÐÕë¾ÄÍÆÄÃÖÎÁÆ£¬£¬£¬£¬£¬Ã»Ï뵽֢״һֱδ¼û»º½â£¬£¬£¬£¬£¬²¢Öð½¥¼ÓÖØ¡£¡£¡£¡£¡£¡£¡£3ÄêǰÓÖ×îÏÈ·ºÆðË«ÊÖÂéľ£¬£¬£¬£¬£¬ÏµØÐÐ×ßÖð½¥ÄÑÌ⣬£¬£¬£¬£¬ÔÚÍâµØÒ½Ôº¾ÍÕï×öÁ˸÷Ïî¼ì²é£¬£¬£¬£¬£¬×îºó·¢Ã÷¾¹È»ÊǼ¹ËèÐ;±×µ²¡£¬£¬£¬£¬£¬±»¼û¸æÏëÒªÖÎÁƵϰֻÄÜ×öÊÖÊõ²Å»ª½â¾öÎÊÌâ¡£¡£¡£¡£¡£¡£¡£
¡°»á²»»áÊǸã´íÁ˰¡£¡£¡£¡£¡£¡£¡£¿£¿£¿£¿£¿£¿£¿¡±Ó÷¶°¢ÆÅ×Ô¼ºµÄ»°Ëµ£¬£¬£¬£¬£¬¡°ÎÒÔõôҲÏë²»µ½£¬£¬£¬£¬£¬½ÅÉϵÄÎó²î¾ÓÈ»ÊǾ±×µÒýÆðµÄ¡£¡£¡£¡£¡£¡£¡£¡±¿ÉÊÇÓÉÓÚÄêËê½Ï´ó£¬£¬£¬£¬£¬Æ½Ê±ÓÖÓиßѪѹ,ÌÇÄò²¡µÈÄڿƼ²²¡£¬£¬£¬£¬£¬ÔÙ¼ÓÉϾ±×µÊÖÊõΣº¦¼°ÄѶȽϸߣ¬£¬£¬£¬£¬ÕÒÁ˺ü¸¼ÒÒ½Ôº¶¼±»½¨ÒéÊØ¾ÉÖÎÁÆ¡£¡£¡£¡£¡£¡£¡£·¶°¢ÆÅ¶à·½ÇóÕïÎÞ¹û£¬£¬£¬£¬£¬Åãͬ×ÅÖ¢×´Ô½À´Ô½ÖØ£¬£¬£¬£¬£¬¾Óɺ¢×ÓÃÇ¡¢ÇׯÝÅóÙÃǶ෽̽ѯ£¬£¬£¬£¬£¬¾öÒéµ½ÖÛɽ¶¨º£¹ã»ªÒ½Ôº¾ÍÕï¡£¡£¡£¡£¡£¡£¡£
¶þ¡¢ÌìçḨÖúÊÖÊõ¼ÜÆðÉúÃüÇÅÁº

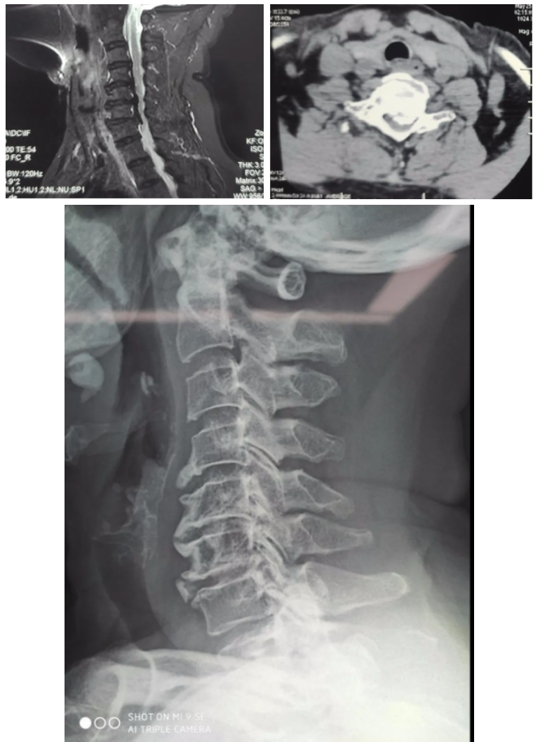
×µ¼äÅ̺óÔµ¹ÇÐÔÔöÉúեȡÉñ¾
ÕâÒ»´Î£¬£¬£¬£¬£¬·¶°¢ÆÅµÄÏ£ÍûÖÕÓÚûÓÐÂä¿Õ£¬£¬£¬£¬£¬Á¬Ã¦´òµãÁËסԺ¡£¡£¡£¡£¡£¡£¡£ÔÚÍêÉÆÊõǰ¼ì²éɨ³ýÊÖÊõ½û¼ÉÖ¢ºó£¬£¬£¬£¬£¬¹ã»ªÒ½Ôº¼¹Öù¿ÆÍŶÓÔÚÀîÔº³¤µÄÏòµ¼Ï½èÖúÌìçá?¹Ç¿ÆÊÖÊõ»úеÈËÊÖÒÕ£¬£¬£¬£¬£¬Îª·¶°¢ÆÅ¿ªÕ¹ÁËÊÖÊõ¡£¡£¡£¡£¡£¡£¡£

ÊõǰÏû¶¾×¼±¸

°²ÅÅÌå±í¶¨Î»ÒÇ
ÊõÖÐÔÚ°²ÅźÃÌå±í¶¨Î»ÒǺ󣬣¬£¬£¬£¬µÐÊÖÊõ²¿Î»¾ÙÐÐÈýάɨÃ裬£¬£¬£¬£¬ÍýÏë¾±7×µ¹¸ùÂݶ¤Öö¤õè¾¶¡£¡£¡£¡£¡£¡£¡£


°´Éè¼Æ¾ÙÐÐÖÃÈëµ¼Õë

ÈýάÔÙ´ÎÑéÖ¤µ¼ÕëλÖ㬣¬£¬£¬£¬Öõ¼¾«×¼
ÔÚÌìçá?¹Ç¿ÆÊÖÊõ»úеÈ˸¨ÖúÏ£¬£¬£¬£¬£¬Í¨¹ý¾«×¼¶¨Î»£¬£¬£¬£¬£¬Ò½ÉúΪ·¶°¢ÆÅÖÃÈëÂݶ¤£¬£¬£¬£¬£¬ÊÖÊõÖмÈûÓÐËðÉ˵½×µ¶¯ÂöҲûÓÐÅö´¥¼¹Ë裬£¬£¬£¬£¬ÊÖÊõǰºóÖ»ÓÃÁËÒ»¸ö°ëСʱ£¬£¬£¬£¬£¬³öѪÁ¿ºÜÊÇÉÙ¡£¡£¡£¡£¡£¡£¡£
Èý¡¢ÌìçḨÖúÊÖÊõ´ó´ó½µµÍΣº¦
ÀîÔº³¤ÏÈÈÝ£¬£¬£¬£¬£¬¼¹ËèÐ;±×µ²¡ÊÇÓɶàÖÖÒòËØµ¼Ö¾±×µ×µ¹ÜÏÁÕեȡ¼¹Ë裬£¬£¬£¬£¬»¼Õß»á׿¹ËèÊÜѹ¼°±äÐÔµÄˮƽ¼ÓÖØ£¬£¬£¬£¬£¬Öð½¥·ºÆðË«ÏÂÖ«²ÈÃÞ¸ÐÂéľ·¦Á¦Ë«ÊÖÂéľ·¦Á¦£¬£¬£¬£¬£¬ºóÆÚÉõÖÁ¿É·ºÆð½ØÌ±¾Þϸ±ãʧ½ûµÈÇéÐΡ£¡£¡£¡£¡£¡£¡£·¶°¢ÆÅ¼´ÊÇÓÉ×µ¼äÅ̺óÔµ´ó×Ú¹ÇÖÊÔöÉúեȡ¼¹ËèÒýÆðµÄ£¬£¬£¬£¬£¬¹ØÓÚÕâÖÖ¹ÇÖÊÔöÉúÑÏÖØµÄ²¡ÈË£¬£¬£¬£¬£¬¾±×µÇ°Â·ÊÖÊõÎÞ·¨Íê³É¼õѹ£¬£¬£¬£¬£¬Ö»ÄÜÐо±×µºó·ÈںϼõѹÄÚÀο¿ÊÖÊõ¡£¡£¡£¡£¡£¡£¡£
¾±×µºó·ÊÖÊõÖ®ÒÔÊǽÏǰ·ÊÖÊõΣº¦¸üºÆ½Ù¶È½Ï¸ß£¬£¬£¬£¬£¬³ýÁËÌåÏÖÔÚ¼õѹʱÈÝÒ×ËðÉËÉñ¾Ö®Í⣬£¬£¬£¬£¬ÉÐÓÐÒ»¸öÖ÷ÒªµÄµã¼´ÊǾ±×µµÄ×µ¹¸ù½Ïϸ£¬£¬£¬£¬£¬Âݶ¤Ö²Èëʱ¹ØÓÚÖö¤µãºÍÖö¤½Ç¶ÈµÄÒªÇ󼫸ߣ¬£¬£¬£¬£¬ÉÔÓÐʧÉ÷¾Í»á·ºÆðÎó²î£¬£¬£¬£¬£¬ËðÉËÉñ¾¼°Ñª¹Ü£¬£¬£¬£¬£¬ÉõÖÁÓÚΣ¼°ÉúÃü£¬£¬£¬£¬£¬¶øÕâÖÖΣº¦ÔÚÓÐÁËÌìçá?¹Ç¿ÆÊÖÊõ»úеÈ˸¨Öúºó£¬£¬£¬£¬£¬½èÖúÌìçá?¹Ç¿ÆÊÖÊõ»úеÈ˾«×¼µÄ¶¨Î»¼°Ö¸µ¼£¬£¬£¬£¬£¬ÕâÖÖΣº¦¿É´ó´ó½µµÍ¡£¡£¡£¡£¡£¡£¡£
ÎÄÕÂȪԴ | Õã½ÖÛɽÊж¨º£¹ã»ªÒ½Ôº
ÕûÀí£ºpgÉͽðÅ®Íõ
